« volver a los artículos interesantes
El consumo de cocaína ha sido asociado a numerosas manifestaciones cutáneas, incluyendo pseudovasculitis, urticaria vasculitis, vasculitis de Churg-Strauss, fenómeno de Raynaud, vasculitis granulomatosa necrotizante, vasculitis de Schölein- Henoch, púrpura palpable, pustulosis exantemática generalizada aguda, y vasculitis necrotizante. El consumo de cocaína también se asoció con Síndrome de Stevens-Johnson, enfermedad de Buerger, crisis hipertensiva, infarto agudo de miocardio, accidentes cerebro vasculares y arritmia ventricular.
La cocaína puede causar hipertermia interna y fatalidades cuando no se puede ajustar la temperatura. Como las anfetaminas, la cocaína es un estimulante; se la ha asociado con incremento del metabolismo y dramática pérdida de peso, especialmente en modelos animales. Las personas adictas a cocaína que son propensas a psicosis inducidas por cocaína tienen un índice de masa corporal bajo. Varias condiciones psiquiátricas están asociadas con abuso de cocaína; una de las más comunes es la parasitosis delirante (sentir que insectos caminan debajo de la piel).
Debido a que el uso de drogas ilícitas causa varias manifestaciones cutáneas, debería considerarse la posibilidad de erupciones inducidas por sustancias ilícitas en pacientes con comportamiento extraño o lábil, signos de delirio u otras condiciones psiquiátricas.
No obstante, no se deben excluir completamente otras causas de manifestaciones cutáneas, aún cuando se encuentren sustancias ilícitas durante el screening. Un test positivo para drogas no siempre indica la causa de lesiones cutáneas concurrentes.
Mujer de 37 años, angustiada, ansiosa, de llanto fácil, que presentaba hace 3 meses lesiones rojas que involucraban primeramente los brazos y luego se extendieron a piernas y tronco. Había recibido tratamientos odontológicos por caries desde el inicio de la erupción cutánea. La paciente refería pérdida de peso inexplicable en 3 meses. Cuando aparecieron las primeras lesiones la paciente consultó y fue tratada como escabiosis con permetrina al igual que su familia, pero no mejoró. Durante el examen la paciente no presentaba delirios pero comentó que los “insectos” podrían ser causa de su rash y describió que “cosas blancas” emergerían de su piel y ella las cepillaba.
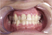
El examen físico mostró numerosas pápulas eritematosas escoriadas algunas con costras en área tibial, muslos y antebrazos; la paciente presentaba caries.
El test de orina fue positivo para benzolecgonine, un metabolito de la cocaína. El resto del laboratorio era normal. Se envió al psiquiatra para su evaluación. Durante la evaluación, se le informó del test positivo para cocaína y ella negó el uso de cocaína y otras sustancias.

Fig. 1. El examen físico mostró numerosas pápulas eritematosas escoriadas algunas con costras en área tibial, paciente 1

Fig. 2: Dientes traumatizados y caries, paciente 1
Hombre de 39 años (esposo de paciente 1) que presentó una erupción cutánea pruriginosa que comenzó en los brazos 3 meses antes, el paciente presentó pérdida de peso inexplicable en ese mismo periodo de tiempo.
Ambos, marido y mujer habían sido evaluados por varios médicos y dermatólogos. La biopsia reveló injuria cutánea pero no se evidenciaron parásitos. El paciente describía que una sustancia blanca salía de las lesiones pruriginosas “como una larva” y que se movía periódicamente. Cuándo se le preguntó sobre uso de sustancias, negó el consumo de anfetaminas, cocaína, alcohol, u otras drogas ilícitas.
El examen físico mostró pápulas eritematosas y escoriadas en los brazos, piernas, parte anterior de tronco y glúteos.
Su dentición estaba relativamente intacta. El test de orina fue positivo para cocaína. El resto del laboratorio fue normal. El test de HIV fue negativo.
En la visita siguiente se le informó el resultado positivo del test urinario para cocaína. El negó el uso de cocaína y de otras drogas. El paciente se envió al psiquiatra y se perdió en el seguimiento.

Fig. 3. A Numerosas pápulas eritematosas escoriadas con costras en extremidades superiores (paciente 2). B Pápulas escoriadas en mano izquierda

Fig. 4. Escoriaciones eritematosas con costras en parte anterior de muslo
Desde el año 1980, el abuso de cocaína ha alcanzado nuevamente niveles epidémicos. Se ha estimado que el número de consumidores de cocaína en Estados Unidos es 1.3 millones, más de 5 veces el número de personas adictas a heroína.
Estudios animales ofrecen un mejor entendimiento del uso compulsivo de cocaína. En uno de estos estudios, primates con acceso ilimitado a cocaína pulsaban un bar para que liberara una dosis intravenosa de la droga. Estos monos perdían el interés en todo, incluyendo la nutrición y la reproducción, y presionaban el bar continuamente hasta que morían de status epiléptico.
Se ha demostrado que los primates presionarían el bar 12.800 veces por una dosis simple de cocaína. Otros trabajaban continuamente por cocaína en vez de comida. Los primates preferían recibir un shock eléctrico con una gran dosis de cocaína cuando podían haber recibido una dosis menor sin shock.
Este comportamiento compulsivo era independiente de los desórdenes de la personalidad o estrés situacional, y algunos autores piensan que los humanos tendrían un comportamiento similar si tuvieran acceso ilimitado a cocaína. El uso de estimulantes como la cocaína se ha relacionado con psicosis paranoide, similar a la esquizofrenia paranoide aguda.
La cocaína está asociada con muchas condiciones dermatológicas (tabla 1). Además de las manifestaciones cutáneas también afecta múltiples órganos y se la implica con la salud materno-fetal.
Las manifestaciones psiquiátricas de la cocaína son comunes. Cuando se sospecha el uso de cocaína, se debe realizar screening de la droga y una consulta psiquiátrica. Algunos autores han reportado que el uso de cocaína se asocia con delirios de parasitosis. En el caso de los pacientes estudiados en este articulo, ambos referían que salían cosas blancas de la piel. Esto representa un delirio del esposo y su mujer que consumían cocaína. El diagnóstico final era delirio de parasitosis y escoriaciones secundarias por injuria de la piel auto-inducida.
Aunque el uso de cocaína tiene muchos hallazgos característicos, no tiene signos ni síntomas patognomónicos. Por lo tanto, los pacientes con manifestaciones dermatológicas y otros hallazgos relacionados con el uso de cocaína tienen amplios diagnósticos diferenciales.
No existen políticas estándar para tomar el consentimiento informado antes de realizar el test de uso de cocaína. Ante circunstancias en donde se sospecha el uso de cocaína, se le ofrece al paciente el screening para “toxinas” o “sustancias” que podrían contribuir a la condición.
El laboratorio de toxicología (tests) provee información que apoya o refuta el diagnóstico de abuso a cocaína. Las muestras más comúnmente usadas para el screening de drogas son la orina y el plasma, la cocaína y benzoylecgonine se aíslan por cromatografía/espectrometría.
El benzoylecgonine puede detectarse en orina por 3 días luego de la administración de cocaína. La cocaína y sus metabolitos se eliminan rápidamente de la sangre; la concentración en plasma hace su pico 1 hora luego de la administración, y el tiempo de vida media de eliminación es de 3.6 horas. No obstante, si benzoylecgonine se encuentra en plasma, puede servir como marcador de intervalo de tiempo desde la exposición.
La cocaína está asociada con numerosas condiciones cutáneas, incluyendo varios tipos de vasculitis, púrpura, urticaria, delirio de parasitosis, y erupciones cutáneas no descriptas. La cocaína también se asocia con incremento de calor interno y pérdida dramática de peso, especialmente en modelos animales. Otras experiencias comunes incluyen dificultad para dormir, somnolencia diurna y fatiga. Es importante la consulta y seguimiento psiquiátrico.
| Manifestaciones | Referencias |
|---|---|
| Necrosis cutánea aguda multifocal | Hoeger y col |
| Pustulosis exantemática generalizada aguda | Lu y High |
| Necrosis grasa del recién nacido | Carracio y col |
| Fibrosis cutánea | Kircik y col |
| Ulceras cutáneas crónicas | Abidin y col |
| Esclerodermia | Kerr y Attoussi |
| Enfermedad bullosa relacionada a cocaína | Tomecki y Wikas |
| Delirio de parasitosis | Elpern |
| Perforación del septum nasal | Blanksma y Brand |
| Perforación palatina | Sastry y col |
| Caries dentarias | Blanksma y Brand |
| Ampollas orales | Faruque y col |
| Pseudosvasculitis | Friedman y Wolfsthal |
| Enfermedad de Buerger | Marder y Mellinghoff |
| Urticaria vasculitis | Hofbauer y col |
| Síndrome de Steven-Johnson | Hofbauer y col |
| Granuloma destructivo de la línea media | Sittel y Eckel, Sevinsky y col, Daggett y col, Becker y Hill |
| Vasculitis de Churg- Strauss | Orriols y col |
| Fenómeno de Raynaud | Noel y Balbir-Gurman y col |
| Vasculitis necrotizante granulomatosa | Gertner y Hamlar |
| Vasculitis de Schölein-Henoch | Brust |
| Púrpura palpable | Brust |
| Vasculitis necrotizante | Brust |
Comentario y resumen objetivo: Dra. Geraldina Rodríguez Rivello
Dres. J . Brewer , A . Meves , J . Bostwick , K . Hamacher , M . Pittelkow
Journal of the American Academy of Dermatology , Vol 59 , Issue 3 , Pág. 483 - 487